Nachteil an diesem Test ist, dass nicht jeder ein Mikroskop zuhause hat und er mit bloßem Auge nur funktioniert, wenn recht viele lebende Zellen vorhanden sind.
Jetzt bin ich einem neuen Phänomen auf der Spur.
Das Aufwecken einer alten, in NaCl Lösung eingelagerten, Hefe wollte nicht klappen. Weder in der Starterwürze noch auf dem Nährboden tat sich was. Also ab unters Mikroskop ...
(Bitte entschuldigt die grottenschlechten Aufnahmen und den im "Bild 1" eingekreisten Dreck. Ich habe leider keine Okularkamera und kann nur mit dem Handy ins Okular fotografieren. Der Dreck sitzt im inneren des Okulars und ich bekomme es nicht zum Reinigen auf.)
1. Katakasetest:
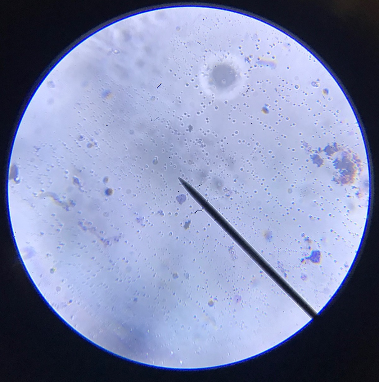
50% Hefesuspension aus dem Starter, 50% 3%ige H2O2 Lösung
Bei einer lebenden Hefepolulation bekommt man bei diesem Test unter dem Mikroskop nicht eine Zelle zu sehen, weil unter dem Deckglas hunderttausende kleine Sauerstoffbläschen entstehen, die für ordentlich Trubel sorgen.
Bei der vermeidlich toten Hefe entstand nicht ein Sauerstoffbläschen. Starkes Indiz für "Hefe ist tot" ...
2. einfärben mit Methylenblau
Das Methylenblau färbt alle Zellen blau an. Lebende Zellen entziehen dem Methylenblau Sauerstoff und verwandeln es in Lekomethylenblau. Lekomethylenblau ist durchsichtig und nicht mehr blau. Lebende Zellen werden somit nach kurzer Zeit wieder "weiß" und tote bleiben blau.
Hier im Test: nur blaue Zellen ... Die NaCl Hefe ist wirklich mausetot.
-----------------------------------------
neuer Schnelltest ???:
-----------------------------------------
Ausgangssituation:
Es liegt eine nachgewiesen tote Hefepopulation vor. Ich habe zwei Starterröhrchen mit dieser Kultur beimpft. Zwei weitere sind mit anderen Hefen beimpft (von Kryoperlen, sehr wenige Zellen, Starter noch beim Aufwachen). Alle vier Röhrchen sind mit der gleichen Starterwürze befüllt (gleiche Charge, gleicher Durchlauf beim Autoklavieren).
Um den Hefen beim Aufwecken einen guten Start zu geben, schüttle ich für Röhrchen alle paar Stunden kräftig zum Belüften durch. Die Röhrchen bleiben verschlossen, solange sich kein Druck darin aufbaut. Das ist hier der Fall.
Durch das Aufschütteln bildet sich ein feinporiger Schaum in den Röhrchen, der bei den beiden Ansätzen mit den toten Hefen schnell zusammenfällt (15-30 Minuten). Bei den beiden Röhrchen mit den lebenden Hefen (ganz frisch von Kryoperlen aufgeweckt, kaum Zellen, Hefe noch inaktiv) bleibt der Schaum bis zum nächsten Aufschütteln (also 6 Stunden) bestehen.
(Eine Hefen von den Kryoperlen ist der gleiche Stamm, wie die tote Hefe).
Vorsichtige Vermutung:
Bei komplett toten Hefen fällt der aufgeschüttelte Schaum in der Starterwürze schnell zusammen. Bei vorhandenen lebenden Hefezellen bleibt der Schaum, warum auch immer, auch ohne Gäraktivität stundenlang bestehen.
Mit anderen Worten: Sobald eine lebende Hefe in der Starterwürze ist, hält der Schaum nach dem Aufschütteln lange. Beziehungsweise, sobald nur tote Hefe in der Starterwürze ist fällt der Schaum schnell zusammen. Gibt es für diesen Effekt eine gute Erklärung? Alkohol ist noch in keinem Röhrchen entstanden, CO2 (Druck) auch nicht.
Falls sich das auch bei euch reproduzieren lässt, hätten wir einen Schnelltest für Jedermann, der nahezu ohne Equipment zuhause durchgeführt werden kann. Man braucht eine lebende Hefe, eine zu testende Hefe, zwei durchsichtige kleine Gefäße und etwas Starterwürze.
--
Sobald die Starter anfangen zu gären, sieht es übrigens anders aus. Der Schaum fällt dann nach dem Belüften ebenfalls recht schnell zusammen. Man hat aber leichte Kräusen und nimmt beim Öffnen des Deckels (nach dem Aufschütteln/Belüften) deutlich das ausströmende CO2 war.
