Gärt Schneider Hefe bei 10°C?

Antworten
nettermann90
Posting Senior
Posting Senior
Beiträge: 396
Registriert: Freitag 14. April 2017, 16:46
Wohnort: 35415 Pohlheim

Gärt Schneider Hefe bei 10°C?

#1

Beitrag von nettermann90 »

Moin,

ich habe einen blöden Fehler gemacht :Ahh

Habe ein dunkles Festbier aus Münchner 2, Wiener und Melanoidin Malz gebraut. Die Hefe W34/70 habe ich von der NaCl Lösung hochgezogen. Vorher hatte ich in meinem Erlenmeyerkolben eine Schneider Hefe gestrippt.

Nun hatte ich die W34/70 ganz normal vermehrt über 6 Tage und beim reinkippen in den Sud fiel mir auf, dass der Starter ganz stark nach Weizenbier riecht :puzz Dachte mir OK, vielleicht durch die vielen Esther da ich bei über 20°C die Hefe vermehrt habe.

Den Sud habe ich dann bei 8°C angestellt und bei 10°C vergoren. Die Gärung ist nun nach etwa 12 Tagen durch. Habe eben gespindelt. EVG 74%. Das ungespundete Bier schmeckt irgendwie nach Weizen, im abgang zudem leicht süß.

Angenommen die Schneider hat in meinem Kolben irgendwie das vorheriche auskochen mit der Starterwürze überlebt, und sich dann beim Starter ziehen vermehrt, kann es wirklich sein, dass die bei 10°C einen Sud in 12 Tagen vergären kann? Bei Obergäriger Hefe und 10°C sollte sich doch normal gar nichts tun. Das sind mir zu viele Zufälle zur gleichen Zeit. Den Erlenmeyer hab ich wie gesagt mit den Starterwürze 5 Minuten ausgekocht, das Gärfass mit warmem Wasser und Soda desinfiziert.

Jemand eine Idee? Oder hat jemand mit der Schneider schonmal bei den Temperaturen vergoren? Vielleicht haben sich die beiden Hefestämme ja die Arbeit geteilt :Waa

Gruß
Felix
Benutzeravatar
Boludo
Posting Freak
Posting Freak
Beiträge: 19439
Registriert: Mittwoch 12. November 2008, 20:55

Re: Gärt Schneider Hefe bei 10°C?

#2

Beitrag von Boludo »

Das ist sehr unwahrscheinlich. Ich denke, du machst dich vom Jungbieraroma verrückt.
Einfach mal abwarten.

Stefan
Benutzeravatar
Sura
Posting Freak
Posting Freak
Beiträge: 3624
Registriert: Montag 2. November 2015, 22:37

Re: Gärt Schneider Hefe bei 10°C?

#3

Beitrag von Sura »

nettermann90 hat geschrieben: Montag 14. Mai 2018, 19:57 Angenommen die Schneider hat in meinem Kolben irgendwie das vorheriche auskochen mit der Starterwürze überlebt
Hat sie nicht. Das eine Hefezelle eine vorherige Reinigung (da geh ich jetzt mal von aus!) und ein auskochen überlebt, ist sehr unwahrscheinlich.....
"Es ist schon alles gesagt, nur noch nicht von jedem."
(Karl Valentin)
nettermann90
Posting Senior
Posting Senior
Beiträge: 396
Registriert: Freitag 14. April 2017, 16:46
Wohnort: 35415 Pohlheim

Re: Gärt Schneider Hefe bei 10°C?

#4

Beitrag von nettermann90 »

Ich muss zugeben gereinigt habe ich nur mit heissem Wasser. Habe jetzt mal einen Spültab und richtig heisses Wasser angewendet. Da sollte nun alles Tot sein.

Es wäre weiterhin auch kein Problem, nur wollte ich die Erntehefe kommendes Wochenende wieder verwenden. Und wenn es dann wieder eine Art Weizen wird wäre es blöd :-D
nettermann90
Posting Senior
Posting Senior
Beiträge: 396
Registriert: Freitag 14. April 2017, 16:46
Wohnort: 35415 Pohlheim

Re: Gärt Schneider Hefe bei 10°C?

#5

Beitrag von nettermann90 »

Ich habe nun ein paar externe Meinungen von der Family eingeholt. Von sich auch hat keine den Weizengeschmack bemerkt, erst auf Nachfrage meinerseits wurde gesagt, dass es im Antrunk schon was von Weizenbier hat.

Ich werde morgen nach dem Abfüllen den Bodensatz unter dem Mikroskop mal beobachten. Die W34/70 sowie die Schneider habe ich beide schon beobachtet. Rein Optisch unterscheiden sie sich deutlich. Die Schneider kommt so gut wie garnicht als einzelne Zelle vor, wohin die 34/70 immer alleine rumschwirrt. OG und UG eben. Das sieht man aber erst wenn man sie verdünnt und die Probe leicht schräg hält sodass Bewegung in die Sache kommt.

Ich werde berichten!
nettermann90
Posting Senior
Posting Senior
Beiträge: 396
Registriert: Freitag 14. April 2017, 16:46
Wohnort: 35415 Pohlheim

Re: Gärt Schneider Hefe bei 10°C?

#6

Beitrag von nettermann90 »

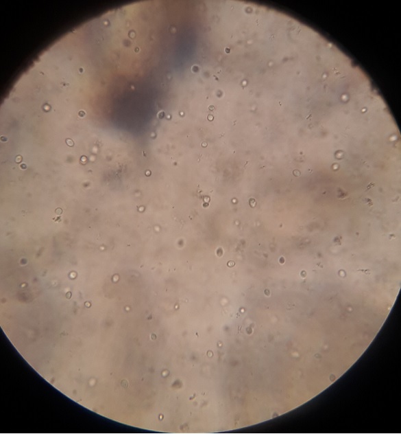
So, der Sud ist nun in Flaschen.

Anbei noch ein Foto vom Mikroskop. Keinerlei OG Hefe zu erkennen.
hefe.jpg
hefe.jpg (59.93 KiB) 2846 mal betrachtet
Was mir noch eingefallen ist... ich habe dieses mal den kompletten Starter mit knapp 1L in den Sud gekippt ohne zu Dekantieren. Das habe ich so zum ersten mal gemacht. Ist das vielleicht der Fehler für den Fehlgeschmack? 1L auf 20L Würze.

Gruß
Benutzeravatar
DerDerDasBierBraut
Posting Freak
Posting Freak
Beiträge: 7889
Registriert: Donnerstag 2. Juni 2016, 20:51
Wohnort: Neustadt-Glewe

Re: Gärt Schneider Hefe bei 10°C?

#7

Beitrag von DerDerDasBierBraut »

1:20 hört sich für UG auf alle Fälle zu weinig an. 1:10 ist dort doch immer die Faustregel. Ob der Starter höher konzentriert ist (1:20 auch reicht) kann man vorab mit Mikroskop, Methylenblau und Thomakammer ermitteln.
"Da braut sich was zusammen ... "
"Oh, Bier ;-) !"
"Nein! Was Böses!"
"Alkoholfreies Bier??? ..."
-----------
Viele Grüße
Jens
nettermann90
Posting Senior
Posting Senior
Beiträge: 396
Registriert: Freitag 14. April 2017, 16:46
Wohnort: 35415 Pohlheim

Re: Gärt Schneider Hefe bei 10°C?

#8

Beitrag von nettermann90 »

Ja, aber es war kein Starter in dem Sinne sondern die "Würze" mit der ich die Hefe bei rund 22°C über die letzten 2 Tage vermehrt habe. Eventuell waren dort soviele Fehlgeschmäcker drin, dass sich das auf den Sud auswirkt? Auch wenn es 1:20 "verdünnt" wurde.
Benutzeravatar
DerDerDasBierBraut
Posting Freak
Posting Freak
Beiträge: 7889
Registriert: Donnerstag 2. Juni 2016, 20:51
Wohnort: Neustadt-Glewe

Re: Gärt Schneider Hefe bei 10°C?

#9

Beitrag von DerDerDasBierBraut »

Die Fehlaromen aus dem Starter saugt die Hefe nach der Gärung / während der Reifung erfahrungsgemäß wieder auf.
Wo hast du das Bier inzwischen? Noch im Gäreimer auf 'genug' Hefe? In Kegs? Bügelflaschen?
"Da braut sich was zusammen ... "
"Oh, Bier ;-) !"
"Nein! Was Böses!"
"Alkoholfreies Bier??? ..."
-----------
Viele Grüße
Jens
nettermann90
Posting Senior
Posting Senior
Beiträge: 396
Registriert: Freitag 14. April 2017, 16:46
Wohnort: 35415 Pohlheim

Re: Gärt Schneider Hefe bei 10°C?

#10

Beitrag von nettermann90 »

Es ist nun in Bügelflaschen abgefüllt und mit Zucker in der Nachgärung.
Benutzeravatar
DerDerDasBierBraut
Posting Freak
Posting Freak
Beiträge: 7889
Registriert: Donnerstag 2. Juni 2016, 20:51
Wohnort: Neustadt-Glewe

Re: Gärt Schneider Hefe bei 10°C?

#11

Beitrag von DerDerDasBierBraut »

Passt gut. Lass die Flaschen einfach eine Weile reifen.
Falls sich das Fehlaroma nicht rauslagert, dann kannst du mal ein Experiment starten :-).
- vom nächsten Sud etwas gekochte Würze abzwacken (25-50 ml) und mit etwas Hefe einen Tag angären lassen
- von einer deiner Bügelflaschen 25-50 ml Bier abgießen und dafür den 25-50ml Ministarter reinkippen
- Verschluss zu und Flasche durchschütteln >> Sauerstoff im Kopfraum als Hefebelüftung nutzen
- Bier in der Flasche erneut ausgären und reifen lassen

Konnte die neue Hefe die Fehlaromen in der nachgeimpften Flasche verstoffwechseln (und in den anderen nicht), dann konnte die Hefe beim Original die Gärnebenprodukte nicht mehr abbauen und man kann man in Richtung Hefemanagementproblem weiterforschen.
Bleibt das Fehlaroma auch in der nachgeimpften Flasche drin, dann kann man über Ursachen wie Gärführung, Pitchingraten, Mischkulturen etc. nachdenken.
Wird das nachgeimpfte Bier super, kannst du alle anderen Flaschen auch nachimpfen :-).
"Da braut sich was zusammen ... "
"Oh, Bier ;-) !"
"Nein! Was Böses!"
"Alkoholfreies Bier??? ..."
-----------
Viele Grüße
Jens
Benutzeravatar
s3b0
Posting Freak
Posting Freak
Beiträge: 637
Registriert: Donnerstag 5. September 2013, 17:27

Re: Gärt Schneider Hefe bei 10°C?

#12

Beitrag von s3b0 »

Mach Dir keine Sorgen, beobachte den Restextrakt und gut iss.

Hintergrund:

>> Wir haben mal zwei Sude am selben Tag gemacht (1x Weissbier, 1x Helles)
Bei der Hefegabe wurden aus Versehen beide Gärbehälter vertauscht und durch jmd. anderes aus Unwissenheit beide in einen Kühlraum mit 7°C gestellt.

Die Gärung lief korrekt durch (das Weissbier haben wir nach 7 Tagen in den Kellerabgang bei 18°C gestellt, dann war die Gärung auch hier nach 1 Tag beim gewünschten Restextrakt.

Fazit:
1x Helles mit Weissbier-Hefe vergoren (schmeckte super)
1x Weissbier mit UG-Hefe vergoren (schmeckte ebenfalls super)
nettermann90
Posting Senior
Posting Senior
Beiträge: 396
Registriert: Freitag 14. April 2017, 16:46
Wohnort: 35415 Pohlheim

Re: Gärt Schneider Hefe bei 10°C?

#13

Beitrag von nettermann90 »

Moin,

so die NG ist nun nach nur 3 Tagen fast durch. Habe mir extra eine kleine Flasche zum vorzeitigen Kosten abgefüllt und nun aufgemacht. Das Gesöff hat einen leicht fruchtigen geschmack. Vom "Weizen" ist nicht mehr viel zu merken. Vielleicht war die Schüttung auch einfach zu "mastig". Die Hopfenbittere ist auch noch sehr stark. Denke das ganze refit sich noch raus. Werde den Sud nun erst nochmal eine Woche warm stehen lassen zur Diacethylrast und dann in die Kühlung tun.

Achja was mir noch aufgefallen ist: Ich hatte einen enormen Bodensatz. Bestimmt 400mL an Hefe im Gärpott. Als wäre das ganze hoffnungslos overpitched. Soviel habe ich normalerweise erst nach 2-3 Führungen mit 30L Würze.

Gruß
Antworten